Military

Hunger Games: The U.S. War on Drugs

Photo: What Crystal Meth Does to the Mouth. The New York Times did a story a few days ago about fighting the drug war in Honduras and applying lessons learned in Iraq.  The War on Drugs is such a joke to me. It amazes me that we can (yes “we” are responsible as citizens) can […]

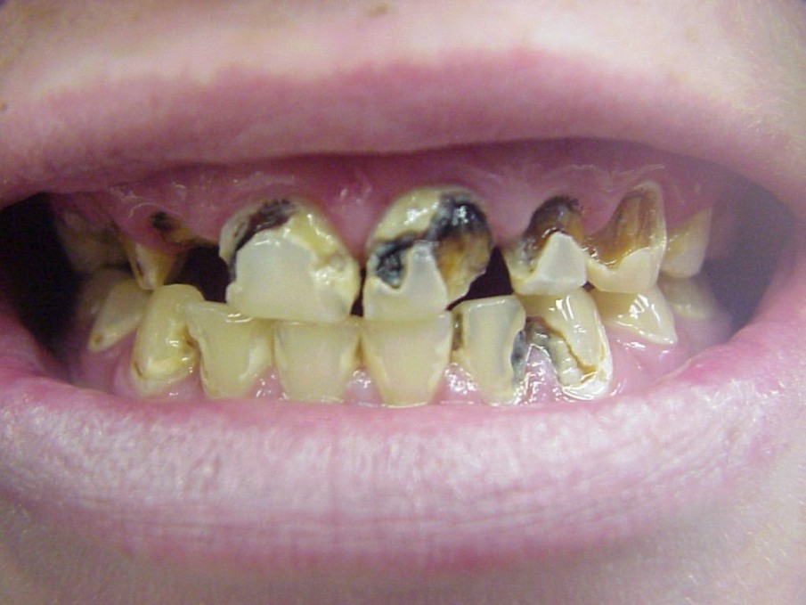
Photo: What Crystal Meth Does to the Mouth.

Advertisement

The New York Times did a story a few days ago about fighting the drug war in Honduras and applying lessons learned in Iraq.  The War on Drugs is such a joke to me. It amazes me that we can (yes “we” are responsible as citizens) can put the U.S. Warfighter in harms way, handcuff them before an arm wrestling match. If you want to know what I’m talking about all you have to do is read the quote from the Times story below.

Quote from The New York Times Article: Lessons of Iraq Help U.S. Fight a Drug War in Honduras

“American troops here cannot fire except in self-defense, and they are barred from responding with force even if Honduran or Drug Enforcement Administration agents are in danger. Within these prohibitions, the military marshals personnel, helicopters, surveillance airplanes and logistical support that Honduras and even the State Department and D.E.A. cannot.”

Advertisement

Not coming to the defense of your comrades in arms is a sure way to NOT build trust and wind up with a bullet in your back if you ask me and a losers game.

Who’s paying for both sides of the drug war? The U.S. Govt. and U.S. consumers of illegal drugs. Ironic that the U.S. consumer lines the Cartel’s pockets and then the U.S. tax payer funds the government’s efforts to stop the flow of drugs into the U.S.

Advertisement

It seems like we should start investing a lot more in educating U.S. children on the severe consequences of hard drug addiction (not talking about marijuana here.). Decrease the hunger for illicit drugs at home. I was lucky enough to see my highly talented best friend plunge into addiction and off the edge of normal society when I was sixteen.  Seeing him dig through the trash to find a scrap of meth he had smoked and discarded earlier was enough for me to never do hard drugs.  A lesson I never forgot.

We continue to play the shell game that is the “War on Drugs” and hop country to country playing lip service.  And meanwhile the U.S. Warfighter is thrown into the middle of the mess again, handcuffed in another arm wrestling contest.  Damned if you do and damned if you don’t chuckles the Washington bureaucrat from a world away….

Someone please tell me what our strategy is on the War on Drugs? We don’t have one?  Sounds like Afghanistan all over again. Maybe the New York Times should re-title their article, “Mistake made in Afghanistan made again in the U.S. Drug War in Honduras”.

Advertisement

I’m just glad most Special Operations won’t follow these stupid Rules of Engagement (ROE), they know how to get around this silly stuff, too bad the conventional units will suffer though.

Your thoughts?

Photo: What Crystal Meth Does to the Mouth.

The New York Times did a story a few days ago about fighting the drug war in Honduras and applying lessons learned in Iraq.  The War on Drugs is such a joke to me. It amazes me that we can (yes “we” are responsible as citizens) can put the U.S. Warfighter in harms way, handcuff them before an arm wrestling match. If you want to know what I’m talking about all you have to do is read the quote from the Times story below.

Quote from The New York Times Article: Lessons of Iraq Help U.S. Fight a Drug War in Honduras

“American troops here cannot fire except in self-defense, and they are barred from responding with force even if Honduran or Drug Enforcement Administration agents are in danger. Within these prohibitions, the military marshals personnel, helicopters, surveillance airplanes and logistical support that Honduras and even the State Department and D.E.A. cannot.”

Not coming to the defense of your comrades in arms is a sure way to NOT build trust and wind up with a bullet in your back if you ask me and a losers game.

Who’s paying for both sides of the drug war? The U.S. Govt. and U.S. consumers of illegal drugs. Ironic that the U.S. consumer lines the Cartel’s pockets and then the U.S. tax payer funds the government’s efforts to stop the flow of drugs into the U.S.

It seems like we should start investing a lot more in educating U.S. children on the severe consequences of hard drug addiction (not talking about marijuana here.). Decrease the hunger for illicit drugs at home. I was lucky enough to see my highly talented best friend plunge into addiction and off the edge of normal society when I was sixteen.  Seeing him dig through the trash to find a scrap of meth he had smoked and discarded earlier was enough for me to never do hard drugs.  A lesson I never forgot.

We continue to play the shell game that is the “War on Drugs” and hop country to country playing lip service.  And meanwhile the U.S. Warfighter is thrown into the middle of the mess again, handcuffed in another arm wrestling contest.  Damned if you do and damned if you don’t chuckles the Washington bureaucrat from a world away….

Someone please tell me what our strategy is on the War on Drugs? We don’t have one?  Sounds like Afghanistan all over again. Maybe the New York Times should re-title their article, “Mistake made in Afghanistan made again in the U.S. Drug War in Honduras”.

I’m just glad most Special Operations won’t follow these stupid Rules of Engagement (ROE), they know how to get around this silly stuff, too bad the conventional units will suffer though.

Your thoughts?

 

Advertisement

What readers are saying

Generating a quick summary of the conversation...

This summary is AI-generated. AI can make mistakes and this summary is not a replacement for reading the comments.